본문 바로가기
정보

사랑니 발치후 주의사항 8가지 알아보기

by 편한 2022. 3. 19.
반응형

오늘은 사랑니 발치 후 지켜야 될 주의사항에 대해서 알아보도록 하겠습니다. 사랑니 또는 치아가 충치로 인해 살릴 수 없는 경우에는 치아를 발치하게 됩니다. 이때 발치 이후 관리를 제대로 하지 못한다면 제대로 회복되지 않거나 출혈이 발생해 좋지 않은 상황이 올 수 있습니다.


[[나의목차]]

사랑니 발치 후 주의사항

사랑니 주의사항은 꼭 지켜야 하는 건 아니지만 빠른 회복일 위해서는 지켜주는 것이 좋습니다.
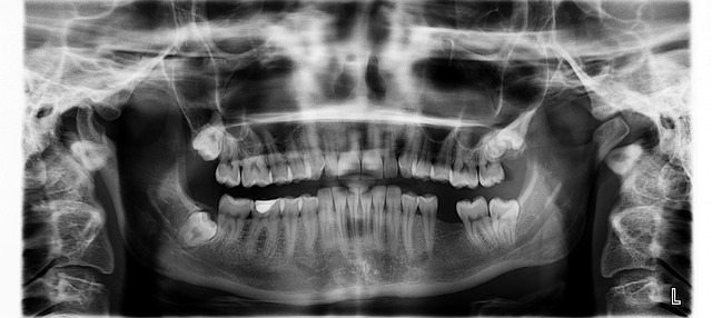
사랑니는 입안의 양쪽 끝 위아래에 하나씩 총 4개로 위치에 따라서 전부다 발치하거나 일부만 발치하게 됩니다. 사랑니의 위치가 잘 자리 잡은 경우 발치하지 않아도 상관없지만 통증이 느껴지거나 사랑니를 제대로 양치하지 않는 경우에는
사랑니에 충치가 생겨 다른 치아에도 충치를 유발할 수 있기 때문에 발치하는 것이 좋습니다.

사랑니는 보통 18세 이후에 많이 자라며 성인이 되고 난 뒤에도 사랑니가 자라지 않은 경우에는 매복 사랑니 일수 있습니다. 매복 사랑니인 경우 발치가 어려운 경우가 종종 있으며 사랑니의 위치가 안 좋은 경우에는 꼭 사랑니 발치를 잘하는 치과나 치과병원을 가는 것을 추천드리겠습니다.

0123456789

사랑니를 발치한 뒤에는 아래의 주의사항을 지키며 잘 관리해주셔야 합니다.

    • 사랑니 발치 후 지혈을 위해 치과에서 거즈를 물려줍니다. 치아를 꽉 깨물어 지혈을 제대로 해주는 것이 좋고 최소 2시간이 상 물고 있으면서 사랑니를 발치한 곳에 피가 나지 않을 때까지 3시간에 한 번씩 거즈를 바꿔주는 것이 좋습니다. 만약 하루 이상 많은 출혈이 지속되는 경우 치과를 방문하는 것이 좋습니다.
  • 발치를 하고 난 뒤 입안에 피와 침이 고이게 됩니다. 이때 입안이 찝찝하다고 침을 뱉을 경우에는 지혈이 제대로 되지 않을 수 있으니 삼켜주는 것이 좋습니다.
  • 사랑니 발치한 당일에는 흡연을 피하는 것이 좋습니다. 흡입하는 힘으로 인해서 지혈이 잘되던 부위에 압력이 생겨 출혈을 유발할 수 있습니다.
  • 음주는 사랑니 발치 후 최대한 하지 않는 것이 좋습니다. 사랑니 발치 후 음주는 염증을 유발하고 상처의 치유를 늦추는 역할을 하게 됩니다. 채네의 알코올은 혈액을 빠르게 움직이는 역할을 하게 돼 출혈을 만들어냅니다.
  • 발치 후 무리한 운동은 하지 않는 것이 좋습니다. 힘을 과도하게 쓰는 경우 발치한 부위에 출혈을 유발합니다.
  • 발치를 한 뒤 사우나, 찜질방, 목욕탕은 가지 않는 것이 좋습니다. 발치한 곳의 살이 차오를 때까지는 삼가시길 바라겠습니다.

발치 후 병원을 내원해야 하는 경우

사랑닌 발치하기 전 동의사를 작성해야 하는 위험한 시술입니다.
수술 이후 다양한 부작용이 생길 수 있으니 발치 후 관리를 잘해주어야 합니다.
만약 발치를 하고 난 뒤 이상반응이 있는 경우네는 발치한 치과에 전화를 해 상담을 받거나 방문하는 것이 좋습니다.

발치 후 병원에 가야 하는 사항

  • 마취가 풀려야 할 시간이 충분히 지난 뒤에도 혀나 입술 치아의 감각이 없는 경우
  • 치아를 발치한 뒤 마취로 인해서 감각이 어느 정도 둔해질 수 있으나 하루가 지난 뒤에도 감각이 둔한 경우
  • 참기 힘든 통증이 발치 후 2일 이상 지속될 때
  • 병원에서 처방해준 진통 소염제와 기타 약을 복용한 뒤 알레르기 반응이 있는 경우
  • 발치한 부위 주변의 잇몸의 붓기가 심할 때

사랑니 발치 후 부작용은?

사랑니를 발치한 뒤 많은 사람들은 아무 이상 없이 회복되지만 드물게 부작용이 생기는 경우가 생길 수 있습니다. 사랑니 발치 후 부작용은 아래 사항을 확인하시면 됩니다.

  • 개구장애:사랑니를 발치할 때 장시간 입을 벌리고 있어 근육이 놀라 개구장애가 생길 수 있습니다. 일시적인 증상으로 2~3일 정도 얼음찜질을 해주어 붓기를 가라 안 혀 주는 것이 좋습니다.
  • 신경손상:아래쪽에 위치해있는 사랑니를 발치할 때에 많이 생기게 되는데 이때 신경이 손상될 경우 마비 증상이 오거나 지속적으로 통증을 유발할 수 있습니다. 신경이 손상되는 경우 회복기간이 오래 걸리기 때문에 장시간 고생할 수 있습니다. 만약 치아를 발치한 뒤에 감각이 잘 안 느껴지는 경우 빠르게 병원을 방문하는 것이 좋습니다.

이빨 깨졌을 때 치료비용과 대처방법

이빨 깨졌을때 치료비용과 대처방법

넘어지거나 무언가를 잘못 씹을 때 젓가락을 씹어서 이빨이 깨지는 경우가 종종 있습니다. 저 같은 경우에도 초등학교 때 영구치가 난 뒤에 이빨이 깨졌는데 이때 대처방법에 대해서 알려드리

rogout.com

빈혈에 좋은음식 총정리!

빈혈에 좋은음식 총정리!

빈혈은 혈액에 혈색소 또는 적혈구 수치가 기준치 이하로 감소된 상태를 말합니다. 적혈구가 감소된 경우 혈액의 산소공급능력이 떨어지게 됩니다. 빈혈의 증상으로는 피로감 어지러움 두통 호

rogout.com

반응형

댓글